Fukushima-Dai-ichi. Le prime conseguenze sanitarie.
Pubblicato il 14/10/2015
( a cura di Alessandro Ricchi - Fondazione Di Bella)
Tratto da:
The Human Consequences of the Fukushima Dai-ichi Nuclear Power Plant Accidents
The Asia-Pacific Journal, Vol. 13, Issue. 38, No. 2, September 28, 2015
Il terrificante terremoto del 11 marzo 2011 (magnitudo 9.0) che ha colpito il lato nord-orientale dell'isola principale del Giappone, accompagnato da un’enorme tsunami, ha spazzato via molte comunità lungo la costa. Circa 20.000 persone vi hanno perso la vita, soprattutto a causa dello tsunami.
Molti di coloro che sono stati spogliati delle loro case, e mezzi di sussistenza, continuano a lottare per recuperare i loro modi di vita.
Uno dei risultati più disastrosi del sisma / tsunami è stata la devastazione di Fukushima Dai-ichi Nuclear Power Plant (Fk-1) della Tokyo Electric Power Co (TEPCO). L’impianto è conosciuto in Giappone come Fk-1 (Fuku-ichi).
E’ stata rilasciata un'enorme quantità di materiale radioattivo.
I suoi effetti sugli organismi viventi hanno già cominciato a farsi sentire in molti modi, anche se sono trascorsi solo quattro anni e mezzo . Può essere prematuro esprimere un giudizio sull’entità e la gravità del disastro, alla luce del fatto che i postumi dell'incidente di Chernobyl del 1986 sono ancora in corso.
Questo articolo discute solamente alcune caratteristiche di spicco della situazione corrente (agosto 2015) in seguito all’incidente dell’impianto Fk-1 .
L’incidente
Quattro dei sei reattori (unità 1 ~ 4) nei locali dello stabilimento Fk-1 sono stati interessati da incidenti gravi, tra cui l'esplosione, mentre gli altri due reattori (5 e 6) non erano in funzione e sono rimasti intatti, in quanto si trovano leggermente distanziati.
Le Unità 1 ~ 3 erano in funzione e avevano avviato le operazioni di spegnimento automatico quando il terremoto ha colpito. L’arresto dei reattori necessita di un costante raffreddamento, perché le barre di combustibile, rilasciano molto calore a causa del processo di decadimento nucleare dei prodotti di fissione radioattivi. Il sisma ha purtroppo causato danni rilevanti ai reattori, e i sistemi di raffreddamento delle unità 1 ~ 3 non hanno funzionato correttamente, sia per danni fisici che per gli errori umani successivi.
Come risultato, le barre di combustibile in unità 1 ~ 3 si sono "fuse".
E’ stata convogliata acqua fredda per contrastare il riscaldamento delle barre di combustibile, ma ciò ha provocato una gigantesca reazione che, attraverso la produzione di idrogeno gassoso, ha prodotto un’esplosione che ha sbriciolato il tetto dell’Unità 1.
L’Unità 2 non mostrava danni apparenti ma ha rilasciato una grande quantità di materiale radioattivo attraverso i fori e le crepe nella struttura provocati dal sisma.
L’esplosione dell’Unità 3, del 14 marzo, è stata sicuramente la più dannosa. La società TEPCO, incaricata della gestione degli impianti, ha sempre insistito nel dichiarare che anche il quel caso vi sia stata una eccessiva e improvvisa produzione di idrogeno gassoso, ma molti autorevoli osservatori propendono per l’ipotesi che invece si sia verificata un’esplosione nucleare per fissione in piccola scala.
Il rilascio di materiale radioattivo
Una grande quantità di materiale radioattivo è stato rilasciato a seguito di incidenti. Come è potuto succedere? Perdite attraverso crepe e fori fatti dal sisma su alcuni reattori, esplosioni, sfiati intenzionali per alleviare la pressione, e perdite di acqua del sistema di raffreddamento contaminata a seguito del contatto con la barra di combustibile.
La quantità di materiale radioattivo non può essere determinato con precisione, ma può essere stimato con vari mezzi. TEPCO ne ha effettuato una stima sulla base delle letture di diversi posti di. I dati governativi iniziali erano basate su queste stime. Alcuni dei dati ufficiali sono presentati nella tabella 1. La valutazione del governo della scala del rilascio da Fukushima, sulla base di questi dati, è che il rilascio di radiazioni fosse relativamente piccola rispetto a quella di Chernobyl (aprile 1986 in Ucraina), da un minimo di un decimo al massimo di un terzo.
Ma questi dati rappresentano, e stimano, solo il rilascio in atmosfera.
Molto materiale radioattivo è stato rilasciato nei sistemi idrici circostanti gli impianti, così come direttamente nell'oceano. Quando sono state stimate le quantità rilasciate nell'acqua , gli importi totali rilasciati sono stati ricalcolati . Essi sono mostrati nella Tabella 1 insieme ai dati ufficiali. Il rapporto tra la quantità rilasciata da Fukushima a quello di Chernobyl varia da 1.2 a 3.1 per i principali radionuclidi, suggerendo che la portata di rilascio di radionuclidi, da Fukushima, era molto probabilmente superiore che da Chernobyl; forse più di due volte, se sono stati tutti presi in considerazione.
Molti di coloro che sono stati spogliati delle loro case, e mezzi di sussistenza, continuano a lottare per recuperare i loro modi di vita.
Uno dei risultati più disastrosi del sisma / tsunami è stata la devastazione di Fukushima Dai-ichi Nuclear Power Plant (Fk-1) della Tokyo Electric Power Co (TEPCO). L’impianto è conosciuto in Giappone come Fk-1 (Fuku-ichi).
E’ stata rilasciata un'enorme quantità di materiale radioattivo.
I suoi effetti sugli organismi viventi hanno già cominciato a farsi sentire in molti modi, anche se sono trascorsi solo quattro anni e mezzo . Può essere prematuro esprimere un giudizio sull’entità e la gravità del disastro, alla luce del fatto che i postumi dell'incidente di Chernobyl del 1986 sono ancora in corso.
Questo articolo discute solamente alcune caratteristiche di spicco della situazione corrente (agosto 2015) in seguito all’incidente dell’impianto Fk-1 .
L’incidente
Quattro dei sei reattori (unità 1 ~ 4) nei locali dello stabilimento Fk-1 sono stati interessati da incidenti gravi, tra cui l'esplosione, mentre gli altri due reattori (5 e 6) non erano in funzione e sono rimasti intatti, in quanto si trovano leggermente distanziati.
Le Unità 1 ~ 3 erano in funzione e avevano avviato le operazioni di spegnimento automatico quando il terremoto ha colpito. L’arresto dei reattori necessita di un costante raffreddamento, perché le barre di combustibile, rilasciano molto calore a causa del processo di decadimento nucleare dei prodotti di fissione radioattivi. Il sisma ha purtroppo causato danni rilevanti ai reattori, e i sistemi di raffreddamento delle unità 1 ~ 3 non hanno funzionato correttamente, sia per danni fisici che per gli errori umani successivi.
Come risultato, le barre di combustibile in unità 1 ~ 3 si sono "fuse".
E’ stata convogliata acqua fredda per contrastare il riscaldamento delle barre di combustibile, ma ciò ha provocato una gigantesca reazione che, attraverso la produzione di idrogeno gassoso, ha prodotto un’esplosione che ha sbriciolato il tetto dell’Unità 1.
L’Unità 2 non mostrava danni apparenti ma ha rilasciato una grande quantità di materiale radioattivo attraverso i fori e le crepe nella struttura provocati dal sisma.
L’esplosione dell’Unità 3, del 14 marzo, è stata sicuramente la più dannosa. La società TEPCO, incaricata della gestione degli impianti, ha sempre insistito nel dichiarare che anche il quel caso vi sia stata una eccessiva e improvvisa produzione di idrogeno gassoso, ma molti autorevoli osservatori propendono per l’ipotesi che invece si sia verificata un’esplosione nucleare per fissione in piccola scala.
Il rilascio di materiale radioattivo
Una grande quantità di materiale radioattivo è stato rilasciato a seguito di incidenti. Come è potuto succedere? Perdite attraverso crepe e fori fatti dal sisma su alcuni reattori, esplosioni, sfiati intenzionali per alleviare la pressione, e perdite di acqua del sistema di raffreddamento contaminata a seguito del contatto con la barra di combustibile.
La quantità di materiale radioattivo non può essere determinato con precisione, ma può essere stimato con vari mezzi. TEPCO ne ha effettuato una stima sulla base delle letture di diversi posti di. I dati governativi iniziali erano basate su queste stime. Alcuni dei dati ufficiali sono presentati nella tabella 1. La valutazione del governo della scala del rilascio da Fukushima, sulla base di questi dati, è che il rilascio di radiazioni fosse relativamente piccola rispetto a quella di Chernobyl (aprile 1986 in Ucraina), da un minimo di un decimo al massimo di un terzo.
Ma questi dati rappresentano, e stimano, solo il rilascio in atmosfera.
Molto materiale radioattivo è stato rilasciato nei sistemi idrici circostanti gli impianti, così come direttamente nell'oceano. Quando sono state stimate le quantità rilasciate nell'acqua , gli importi totali rilasciati sono stati ricalcolati . Essi sono mostrati nella Tabella 1 insieme ai dati ufficiali. Il rapporto tra la quantità rilasciata da Fukushima a quello di Chernobyl varia da 1.2 a 3.1 per i principali radionuclidi, suggerendo che la portata di rilascio di radionuclidi, da Fukushima, era molto probabilmente superiore che da Chernobyl; forse più di due volte, se sono stati tutti presi in considerazione.
I materiali radioattivi stanno ancora continuamente fuoriuscendo, e i dati indicati nella tabella non tengono conto di queste ulteriori quantità. 300 tonnellate di acqua vengono utilizzate ogni giorno per raffreddare le barre di combustibile. L'acqua, che viene immediatamente contaminata, trapela da un certo numero di crepe / fori che ono stati creati dal terremoto, anche se è stato fatto uno sforzo per contenerla e conservarla in serbatoi.
L'acqua sotterranea, che scorre attraverso i locali, e in particolare sotto gli edifici contaminati, non è ancora stata fermata.
La politica di “minimizzazione del rischio” ( un déjà vu …..)
Le autorità internazionali, come l'ICRP e l'AIEA, hanno riconosciuto che i tumori della tiroide nei bambini possono essere causati da radiazioni, probabilmente a causa di I-131. Essi hanno inoltre riconosciuto il nesso di causalità tra la leucemia e le radiazioni. Ma negano una relazione causale nel caso di altri tipi di cancro e di altre malattie, nonostante il fatto che molti studi e relazioni abbiano dimostrato che tutti i tipi di malattie tra cui i tumori possono essere causati dalle radiazioni.
Il tasso di cancro alla tiroide è molto bassa tra i bambini (minori di 18 anni) in condizioni normali; 1 o 2 per milione di bambini all'anno. La Prefettura di Fukushima ha cominciato a indagare le anomalie nella ghiandola tiroide nei bambini nel 2011. Ben presto hanno trovato alti tassi di anomalie: noduli, cisti, tumori per lo più maligni. Entro la primavera del 2015 si sono contati 126 casi di cancro alla tiroide (soprattutto papillari) tra i 370.000 bambini di Fukushima. Questo tasso è pari a 340 / 1.000.000 su 4 anni, vale a dire, 85/1.000.000/anno. Questo dato è eccessivamente alto, circa 60 volte il tasso normale, e anche molto più alto di quello segnalato a Chernobyl.
Tab. 2 – Cancro della Tiroide (incidenza sul territorio giapponese nel periodo 2010-2013)
Tuttavia, le autorità e il comitato incaricato di questa indagine, hanno negato il nesso di causalità con l’incidente di Fk-1i. Queste le loro controdeduzioni:
(a) gli effetti dovuti allo screening – sono state, cioè, tecniche sofisticate, per rilevare tumori che, generalmente in condizioni normali, non vengono rilevati.ono stati rilevati. Tuttavia, i funzionari, hanno ammesso di recente che gli effetti dello screening non sarebbero però sufficienti a spiegare un tasso così alto.
(b) nel caso di Chernobyl i tumori della tiroide nei bambini sono apparsi solo 4 anni dopo l'incidente. E' troppo presto per i bambini Fukushima per ottenere dati sui tumori della tiroide. Questo argomento è stato confutato da un articolo pubblicato sul Journal Asia-Pacifico: Japan Focus.
(c) Hanno controllato un paio di altri luoghi in Giappone, e detto che il tasso di cancro alla tiroide a Fukushima è simile a quella che si trova a Aomori, Nagasaki e Yamanashi. Ciò dimostrerebbe, secondo loro, che Fukushima non è anormale. Questo studio è stato però basato su un campione molto piccolo in cui è stato rilevato un solo cancro; quindi il risultato non è statisticamente significativo.
(d) E 'troppo presto per i tumori della tiroide a comparire. Di solito ci vogliono quattro o cinque anni. Questo è in aggiunta alla tesi di confronto con Chernobyl di cui sopra. Da qui i tumori presenti qui avrebbero dovuto iniziare prima degli incidenti.
(e) La quantità di materiale radioattivo rilasciato era di gran lunga inferiore a quello di Chernobyl, e quindi non avrebbe effetti come quelli trovati in Chernobyl.
Un recente rapporto indica che il periodo di latenza per il cancro della tiroide può essere il più breve uno anno nei bambini. La quantità di materiale radioattivo rilasciato è stato discusso in precedenza, e ha dimostrato di essere almeno pari, se non addirittura superiore, a quella di Chernobyl. Tutti questi argomenti da parte delle autorità si basano su informazioni inesatte e deboli.
Tab. 3 – Incidenza di alcune patologie presso l’Ospedale di Fukushima nel periodo 2010-2012
Tuttavia, le autorità e il comitato incaricato di questa indagine, hanno negato il nesso di causalità con l’incidente di Fk-1i. Queste le loro controdeduzioni:
(a) gli effetti dovuti allo screening – sono state, cioè, tecniche sofisticate, per rilevare tumori che, generalmente in condizioni normali, non vengono rilevati.ono stati rilevati. Tuttavia, i funzionari, hanno ammesso di recente che gli effetti dello screening non sarebbero però sufficienti a spiegare un tasso così alto.
(b) nel caso di Chernobyl i tumori della tiroide nei bambini sono apparsi solo 4 anni dopo l'incidente. E' troppo presto per i bambini Fukushima per ottenere dati sui tumori della tiroide. Questo argomento è stato confutato da un articolo pubblicato sul Journal Asia-Pacifico: Japan Focus.
(c) Hanno controllato un paio di altri luoghi in Giappone, e detto che il tasso di cancro alla tiroide a Fukushima è simile a quella che si trova a Aomori, Nagasaki e Yamanashi. Ciò dimostrerebbe, secondo loro, che Fukushima non è anormale. Questo studio è stato però basato su un campione molto piccolo in cui è stato rilevato un solo cancro; quindi il risultato non è statisticamente significativo.
(d) E 'troppo presto per i tumori della tiroide a comparire. Di solito ci vogliono quattro o cinque anni. Questo è in aggiunta alla tesi di confronto con Chernobyl di cui sopra. Da qui i tumori presenti qui avrebbero dovuto iniziare prima degli incidenti.
(e) La quantità di materiale radioattivo rilasciato era di gran lunga inferiore a quello di Chernobyl, e quindi non avrebbe effetti come quelli trovati in Chernobyl.
Un recente rapporto indica che il periodo di latenza per il cancro della tiroide può essere il più breve uno anno nei bambini. La quantità di materiale radioattivo rilasciato è stato discusso in precedenza, e ha dimostrato di essere almeno pari, se non addirittura superiore, a quella di Chernobyl. Tutti questi argomenti da parte delle autorità si basano su informazioni inesatte e deboli.
Tab. 3 – Incidenza di alcune patologie presso l’Ospedale di Fukushima nel periodo 2010-2012
Non è solo il territorio di Fukushima ad essere coinvolto
E 'noto che Cs - 137 ( così come Cs - 134 ) colpisce i muscoli del miocardio , causando malattie cardiache , infarto del miocardio e altre malattie .
La Tabella 4 mostra gli aumenti dei casi di infarto miocardico .
Non solo Fukushima, ma anche la vicina prefetture di Tokyo e quella più lontana di Okinawa ha mostrato aumenti significativi .
Tab. 4 – Incremento dei casi di infarto miocardico
La leucemia è un altro indicatore specifico dell’effetto delle radiazioni. I dati riportati nella tabella 5 indicano che l’aumento dei casi, per il periodo 2010-2013, è di ben tre volte nella vicina Gunma, mentre sull’intero territorio giapponese è del 142 % .
Tab. 5 - Leucemia
L’esposizione interna agli agenti radioattivi.
Gli effetti del fallout radioattivo di un incidente ad un reattore nucleare, così come quelli derivanti dall’esplosione di una bomba nucleare, sono causati per lo più da "esposizione interna", ma non è mai stata data sufficiente attenzione a questo aspetto da parte delle autorità e degli scienziati ad esse associati. Le fonti di esposizione interna sono particelle radioattive invisibili, che galleggiano nell'aria, che possono essere inalate, e contaminare cibo e bevande consumati. La radioattività di diversi alimenti e bevande prodotte nella zona contaminata è monitorata, e quelli con attività superiori alle soglie di “sicurezza” non può essere legalmente commercializzato.
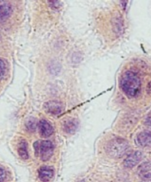
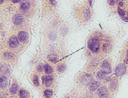
Non ci si può comunque salvaguardare efficacemente contro l'ingestione di materiale radioattivo, a meno che non proceda a misurare la radioattività dil tutto ciò che si ingerisce, e ciò non è possibile. La questione della "esposizione interna" è complicata, e richiederebbe un altro articolo dettagliato. Per ora, sono riportati di seguito tre fotografie solo per illustrarne alcune tra le reali conseguenze.

Le Fig. 1 e 2 sono la traccia di particelle nei tessuti conservati delle vittime delle esplosioni della bomba atomica di Hiroshima e Nagasaki. Non è facile tecnicamente prendere questo tipo di fotografia, e gli scienziati sono riusciti a farlo solo di recente. La fonte della prima traccia è il plutonio della bomba di Nagasaki, per la seconda è l'uranio dalla bomba Hiroshima. Il plutonio e l’uranio, incorporati nei tessuti di alcune vittime della bomba atomica, sono ancora in grado di emettere radiazioni dopo 70 anni. Questo ce la dice lunga sulle ricadute delle esplosioni di bombe atomiche. L'uranio della bomba di Hiroshima e il Plutonio della bomba di Nagasaki, incorporati nel corpo delle vittime e bloccati in quei tessuti oramai privi di vita, hanno continuato ad emettere radiazioni e ulteriormente distrutto i tessuti circostanti per 70 anni. Sia plutonio che uranio hanno una “vita residua” di migliaia di anni.
La rilevazione dei livelli radioattivi
Fino a che punto e in che modo i materiali radioattivi siano dispersi, cioè i livelli di radiazione in varie località del Giappone, sono costantemente monitorati non solo dai funzionari, come detto sopra , ma anche dagli attivisti civili .
Purtroppo i dati ufficiali potrebbero non essere affidabili, come molti osservatori hanno notato . Attivisti civili hanno confrontato i valori di monitoraggio con le proprie letture ed ha trovato differenze anche del 50% in molte località . La struttura del monitor utilizzato dai funzionari dello Stato spesso impedisce la vera lettura della radiazione . È stata rilevata , per esempio , una piastra metallica posizionata appena sotto il dispositivo di misura, che fa da schermo alle radiazioni.
I monitor utilizzati dal governo sono poco efficienti e obsoleti, e la maggior parte può rilevare solo radiazioni γ .
Gli effetti sulla salute sono stati studiati dai governi nazionali e locali giapponesi solo per quanto riguarda le anomalie della tiroide dei bambini Fukushima, come detto sopra. La facoltà di medicina della prefettura di Fukushima starebbe raccogliendo i dati da tutti gli ospedali in Giappone, ma non ha pubblicato i dati. Anche se perseverano ancora nel negare una relazione causale tra i tumori della tiroide dei bambini e i livelli radioattivi, hanno finalmente ammesso, solo di recente, che il numero di tumori è davvero eccessivamente alto.
Effetti delle radiazioni si vedono non solo sulla salute umana, ma anche in molti organismi viventi. Una specie di farfalle è stato osservato di essere colpiti da radiazioni, e gli effetti sembrano essere poi trasmessi da una generazione all'altra. Molte specie di uccelli stanno rapidamente diminuendo di numero. Le mucche sono stati trovate altamente contaminate da cesio 137 e di altri nuclidi. ortaggi e frutta deformi sono stati osservati in molte località. Questi sono solo alcuni esempi di effetti delle radiazioni sulle piante e gli animali.
Il governo tenta di nascondere i dati negativi che raccoglie. Se ammettesse la relazione causale tra gravi effetti sulla salute e le radiazioni, sarebbe obbligato a chiudere tutte le centrali nucleari o almeno ritardare la riapertura degli impianti chiusi. La verità che la "radiazione (di alta energia) è incompatibile con la vita" affronta direttamente il genere umano, ma molti si rifiutano di riconoscerlo perché il governo e l'industria nucleare e gli scienziati associati in Giappone, e in molti altri paesi, continuano a sopprimere i dati reali.
Nessuna singola centrale nucleare ha operato in Giappone negli ultimi due anni, ma ciò nonostante non c'è stata alcuna carenza di energia elettrica. Il governo giapponese, insieme con l'industria nucleare, ora ha riavviato uno dei cinquanta reattori nucleari, nonostante la forte opposizione da parte della maggioranza dei giapponesi e nonostante l'alto rischio in Giappone di ulteriori attività geologica, sia terremoti vulcanici che terrestri.

